انواع تقويم الاسنان بالصور واسعارها 2025
جدول المحتويات
- 1 تقويم الأسنان
- 2 دوافع استخدام تقويم الأسنان
- 3 انواع تقويم الاسنان حيث الوظيفة
- 4 انواع تقويم الاسنان بالصور
- 5 ما أفضل أنواع تقويم الأسنان
- 6 أرخص سعر تقويم الأسنان 2025
- 7 أهمية وفوائد تقويم الأسنان
- 8 أضرار تقويم الأسنان
- 9 مكونات تقويم الأسنان
- 10 ما المدة التي يستغرقها تقويم الأسنان
- 11 ماذا نفعل بعد التقويم
- 12 المراجع
انواع تقويم الاسنان بالصور هو ما سيتمّ تقديمه في هذه المقال، حيث إنّ تقويم الأسنان له عدّة أنواع تختلف بحسب الحالة المرضية، أو حتّى المواد المستعملة في معدّات التقويم، وكذلك تختلف باختيار المرض نفسه وحسب رغبته في نوعية التقويم الذي سيستخدمه طبيب الأسنان في علاجه، وتختلف قوة الأثر ومدّة العلاج وفعالّته من نوع تقويمٍ لآخر، ومن خلال موقع المرجع وعبر هذا المقال سنستعرض صورًا لأهمّ أنواع تقويم الأسنان المستخدمة مع التعريف بكلّ نوع، وبيان أهمية تقويم الأسنان وبعض النصائح بخصوص تقويم الأسنان والتّعرف على أرخص سعر تقويم الأسنان 2025 .
تقويم الأسنان
يعدّ تقويم الأسنان الذي يسمّى في اللغة الإنجليزية “Orthodontic treatment” من أحد أهمّ الخيارات العلاجية التي يعدّ الهدف الرئيس منها تحسين مظهر الفم والأسنان، وتحسين القدرة الوظيفيّة للأسنان من خلال تنظيم تموضعها وتعديل استقامتها في مكانها، ومن خلاله يتمّ توزيع الضغط الناتج من عمليات المضغ للطّعام على كافّة الأسنان، وهو بدوره يخفف الضغط على الأسنان ويحسّن الصحة الفموية العامّة، وأوّل خطوةٍ للعلاج بالتّقويم هي القيام بالفحص الشامل والكامل للأسنان من خلال الصّور الشعاعية والمعاينة العينية للطّبيب، ومن خلال المعاينة يقرر الطبيب الخيار الأمثل للتقويم وللعلاج المُتّبع، ويستغرق التقويم في العادة حوالي السنتين ويفضّل القيام بالتقويم في سنٍّ مبكرة لسهولة تحريك الأسنان والتحكم في موضعها، وبذلك تختلف صيغ العلاج والتقويم باختلاف الحالة المرضية وهذا ما يقرره الطبيب الأخصّائي.[1]
شاهد أيضًا: أرخص سعر تقويم الأسنان 2025
دوافع استخدام تقويم الأسنان
يحتاج الناس لتقويم الأسنان في العديد من الحالات، وعند مواجهتم الكثير من الأعراض الصحية والطبية التي تقتضي استخدام تقويم الأسنان، وإنّ الحالات التي تلزم استخدام تقويم الأسنان هي كما يأتي:[2][3]
- بروز الأسنان العلوية أو السفلية: وهو من أهمّ الأسباب التي تدفع الإنسان لاستخدام تقويم الأسنان،
- تزاحم الأسنان في الفم وتراكبها: وهي حالة تكون لدى أصحاب الفكّ الضّيق، والذين لا تجد أسنانهم مساحة كافية للتّموضع، مما يدفعها للتواجد في أماكن غير طبيعية.
- وجود الأسنان المطمورة: وهي الأسنان التي تنحشر حيث تبقى تحت اللثة ولا تخرج لمكانها الطبيعي.
- وجود الإطباق العميق: وهو ما يُطلق على حالة تغطية الأسنان العلوية على السفلية وتستلزم تقويمًا لتعديلها.
- الإطباق المعكوس: وهو ما يُطلق على حالة اتّجاه الأسنان العلوية إلى الدّاخل أكثر من الأسنان السفلية في الفك السفلي.
- الإطباق المفتوح: وهو ما يُطلق على حالة عدم إطباق الأسنان العلوية على السفلية عند إطباق الفم.
- حالة الشفة المشقوقة: وهي تستلزم تقويمًا يساعد في علاجها.
- الأسنان الغير متماثلة: وهي حالة عدم تطابق مركز الأسنان العلوية والسفلية بنسبة كبيرة مما يُظهرها معوجة.
انواع تقويم الاسنان حيث الوظيفة
يمكن تصنيف أنواع تقويم الأسنان من حيث الوظيفة، كالآتي:
- تقويم أسنان متحرّك: وهو من الأنواع التي يمكن خلعها وتركيبها بسهولة من طرف المريض، حيث يتمّ تدريب المريض على كيفية استعماله، ويدخل ضمنه التقويم المعدني التقليدي والتقويم الخزفي والشفاف.
- تقويم الأسنان الثابت: وهو من الأجهزة التي تلتصق بالأسنان طيلة مدّة العلاج ولا يمكن نزعها، ومنها ما يكون ظاهرًا مرئيًا ومنها ما يكون مخفيًا داخليًّا وهو النّوع الذي سنستعرض لأنواعه صورًا بالتّفصيل، حيث إنّ أنواع تقويم الأسنان الثابتة هي الأكثر استعمالًا وانتشارًا، ومن ضمنه التقويم الخزفي والمعدني الشفاف والتقويم الداخلي، لكن لا يدخل ضمنه التقويم الشفاف فهو متحرك دومًا.
- تقويم الأسنان الوقائي: حيث يكون موجّهًا للأطفال بصورة كبيرة ويهدف لمنع حدوث التّشوهات في الأسنان قبل حدوثها، ويساعد على الحصول على أسنان متناسقة منتظمة.
- تقويم الأسنان التجميلي: وهو من الأنواع التي يتم استخدامها للحصول على الجمال فقط وليس لأغراض علاجية.

انواع تقويم الاسنان بالصور
إنّ انواع تقويم الاسنان بالصور متعددة وكثيرة، ولا يمكن حصرها بعدّة أنواع، فمع تطوّر العلوم والقدرات الطّبية للبشر، يتمّ ابتكار أنواع جديدة لتقويم الأسنان، وهي جميعها تهدف لتحسين الوظيفة الأساسية للأسنان وكذلك تحسين جمالها وأدائها، ويمكن تصنيف أنواع تقويم الأسنان من حيث المواد التي يتمّ تصنيعها منها ومن حيث الشّكل والأداء كما سيتمّ عرضه فيما يأتي:[2]
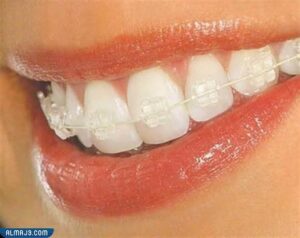
تقويم الأسنان المعدني التقليدي
تقويم الأسنان المعدني التقليدي هو أحد أنواع تقويم الأسنان الثابتة، وهو من الأنواع الأكثر استخدامًا وانتشارًا وشيوعًا حول العالم، وهو مصنوعٌ من المعدن بشكلٍ كامل، وعلى الرّغم من قدمه لكنّه تطور كثيرًا مع مرور الزّمن من حيث إدخال نوعيات مواد جديدة في تصنيعه.
مميزات تقويم الأسنان المعدني التقليدي
يمتاز تقويم بأنه الأقلّ كلفةً من بين جميع أنواع تقويم الأسنان، وفي الكثير من الأحيان يعدّ الأسرع في الحصول على النتائج والأكثر فعاليةً في الأداء، فهو الأفضل دومًا من حيث الأداء بين جميع أنواع التقويم.
عيوب تقويم الأسنان المعدني التقليدي
من العيوب الموجودة في تقويم الأسنان المعدني التقليدي أنّه بالرّغم من ميّزاته الجيدة للحصول على نتيجة قوية وسريعة، وامتيازه برخص تكلفته بالنسبة لباقي الأنواع، إلا أنّ من عيوبه أنّه ظاهرٌ في الفم بشدة، وهو يسبب الإحراج والمضايقة الدائمة في الفم، وقد يسبب إصابات داخلية في الفم بسبب المعادن.
سعر تقويم الأسنان المعدني التقليدي
يصعب تحديد سعر تقويم الأسنان بدقّة خاصّةً في المملكة العربية السعودية، وذلك تبعًا لاختلاف كلّ حالة مرضيّة، وغير ذلك من العوامل التي تحد سعر التقويم، ومنها فترة العلاج والأدوات المستخدمة مع النّظر للحالة الأساسية، ونوع التقويم والطبيب الذي سيعالج المريض، أسعار تقويم الأسنان تختلف من نوع لآخر ومن مكان لآخر، ولكن يبدأ سعر تقويم الأسنان المعدني التقليدي في مدينة جدة من 4000 ريال سعودي ويبلغ أقصى سعرٍ له 15 ألف ريال سعودي، وهذا الأمر يعتمد على مادته التي يتم صنعه منها، إن كان معدنيًّا فقط أو مخلوطًا بالتيتانيوم.
صور تقويم الأسنان المعدني التقليدي
ومن خلال عرض انواع تقويم الاسنان بالصور سيتمّ عرض صور تقويم الأسنان المعدني فيما يأتي:



تقويم الأسنان الخزفي
من أشهر أنواع تقويم الأسنان هو تقويم الأسنان الخزفي، ترجع شهرته وانتشاره إلى أنّ حاملات التّقويم التي يتمّ تركيبها على الأسنان وإلصاقها عليها، مصنوعةٌ بالكامل من مواد خزفيّة قريبة جدًّا من لون الأسنان، وحتى أسلاك التقويم تكون مصنوعةً في الغالب من مواد بلونٍ فاتح يساعد على إخفائها وعدم وضوح رؤيتها للعيان، وهذه الألوان المميزة التي يتحلّى بها تقويم الأسنان الخزفي يجعله من بين الأنواع التي يصعب ملاحظة وجودها في فم المريض، مما يخفف الإحراج الذي يتعرّض له الشخص الذي يعالج أسنانه، وهذه الميّزات ترفع وتزيد من التكلفة الموجودة في التقويم، وتجعله أكثر كلفةً من تقويم الأسنان التقليدي المعدني، وهذا التقويم يمتاز بفعاليّته العالية وسرعة أدائه.
مميزات تقويم الأسنان الخزفي
من ميّزات تقويم الأسنان الخزفي أنّه يكاد يكون غير مرئي في فم المريض وهي ميزة استثنائية يتمّ غالبًا اخيتاره من أجلها، كما أنّه أخف تأثيرًا على اللثّة وأقل سببًا في تهيّجها، فموادّه الأقل خشونة من مواد التقويم المعدني تمنح المريض شعورًا أكثر راحةً بوجوده، وبالرّغم من كونه ليس معدنًا إلا أنّه مقاومٌ بشدّة.
عيوب تقويم الأسنان الخزفي
من عيوب تقويم الأسنان الخزفي أنّ المادّة البيضاء قد تتلون وتفقد جمالها مع مرور الوقت، ففي بداية العلاج تكون القطع الخزفية قريبة جدًّا من لون الأسنان، إلا أنّها تصبح أكثر اصفرارًا مع مرور الزمن، ويمتلك تقويم الأسنان الخزفي سعرًا أعلى من المعدني بالرّغم من امتلاكهما نفس الخصائص، ولكن دقّة التقويم الخزفي تكون أقل ممّا يطيل فترة العلاج، ففترة العلاج الطويلة تعد من أبرز عيوبه.
شاهد أيضًا: كم راتب طبيب الأسنان أول ما يتخرج
سعر تقويم الأسنان الخزفي
سعر تقويم الأسنان الخزفي يعد أكثر كلفةً من التقليدي المعدني ويتراوح سعره ما بين 5000 إلى 6000 ريال سعودي في مدينة جدّة تحديدًا، وتبلغ التكلفة للفكّ الواحد حوالي 2500 ريال سعودي.
صور تقويم الأسنان الخزفي
فيما يأتي مع أنواع تقويم الأسنان بالصور، نعرض تقويم الأسنان الخزفي بالصور:




تقويم الأسنان الداخلي
تقويم الأسنان الداخي من أنواع تقويم الأسنان التي يفضّلها الكثير من النّاس، وذلك لما يمتاز به من ميّزات قد لا توجد في غيره من الأنواع الأخرى الثابتة، ويُطلق عليه أسماء عديدة منها التّقويم اللساني أو التقويم الداخلي، ويمتاز هذا التّقويم أنّ حاملات التقويم فيه يتمّ إلصاقها في الجهة الداخلية من الأسنان، وقد لا يناسب جميع الحالات المرضيّة للأسنان، لذلك يتمّ اختياره بعناية من قبل الأخصائيين.
مميزات تقويم الأسنان الداخلي
يمتاز تقويم الأسنان الداخلي بعدّة أمور تجعله من الأنواع المميزة، ومن مميّزاته:
- التحسين الجمالي: حيث يعدّ من الأنواع الغير مرئية، فلا يمكن للأشخاص ملاحظته إلا بصعوبة بالغة، فهو من الخيارات الجيدة الأقل إحراجًا.
- المدة القصيرة من العلاج: من أقوى أنواع التقويم من حيث الفعالية، وهي التي تقود مدّة العلاج لتكون قصيرة للغاية.
- سهولة التنظيف: فالأقواس الموجودة داخل السن تساعد على تنظيف الأسنان بالفرشاة أكثر من التقليدي.
- عدم ترك أي بقع على الأسنان: حيث يؤدي وضع التقويم في كثير من الحالات لظهور بقع على الأسنان وهي غير موجودة في التقويم الداخلي.
عيوب تقويم الأسنان الداخلي
بالرّغم من امتلاك تقويم الأسنان الداخلي العديد من الميّزات إلا أنّه لا يخلو من بعض العيوب والسلبيات، فسعره العالي بالمقارنة مع سعر التقويم التقليدي من أبرز عيوبه، وكذلك صعوبة تأقلم وتكيف المريض على وجود المشابك من الجهة الداخلية للأسنان، والتي بدورها ستعيق اللسان وتؤدي لصعوبة في الكلام والمضغ، ويتطلّب تعديل هذا التقويم مراجعات أكثر للطبيب.
سعر تقويم الأسنان الداخلي
يعدّ تقويم الأسنان الداخلي أكثر كلفةً من التقويم الخزفي والمعدني التقليدي، وذلك يرجع لعملية تركيبه المعقدة للغاية، والتي تحتاج الكثير من المهارة من الطبيب المختص، وهذا الأمر الذي رفع سعره وجعله باهظًا، وقد يتراوح سعره في المملكة العربية السعودية ما بين 5000 إلى 20 ألف ريال سعودي.
صور تقويم الأسنان الداخلي
فيما يأتي تقويم الأسنان الداخلي نعرضها بالصور:


تقويم الأسنان الشفاف
تقويم الأسنان الشفاف من أنواع التقويم الحديثة، والتي تمّ ابتكارها في السّنوات الأخيرة، وهو يتألف من قالب شفاف بالكامل، يقوم الأخصائي أو الطبيب بتصميمه خصّيصًا للحالة المرضيّة للمريض، ولا يكون القالب واحدًا طيلة فترة العلاج بل يتمّ تغييره في كلّ شهرٍ مرّتين، وذلك بحسب التطورات الحاصلة على الأسنان، ويتمّ تغيير القالب طوال مدّة العلاج ما بين عشرين إلى أربعين مرّة، حيث يتمّ إجراء عملية تقويم الأسنان من خلال تقويم الأسنان الشفاف عبر سلسلة من القوالب الشفافة القابلة للإزالة.
مميزات تقويم الأسنان الشفاف
يعدّ تقويم الأسنان الشفاف من التقنيات الحديثة التي تستخدم في علاج مشاكل الأسنان، ويمتاز بعدّة أمور عن غيره من الأنواع، حيث يتمّ فيه ضبط التقويم بشكل مثالي على شكل السّن بشكل مخصص، فلا يسبب أيّ إزعاج أو أيّة إصابة داخلية أو خارجية أثناء فترة العلاج، وهو يمتاز بأنّه يمنح المريض القدرة الكاملة على تنظيف الفم والأسنان، وكذلك تنظيف القالب فهو يمكن إخراجه، ويمتاز بفعاليته ودقّة تصحيحه للأسنان، وتمنحه ميّزة القدرة على فكّه الكثير من الشّعور بالرّاحة في التعامل معه.
عيوب تقويم الأسنان الشفاف
كل تلك الميزات التي يتصف بها تقويم الـأسنان الشفاف إلا أنّه لا يخلو من بعض العيوب والميّزات السلبية، والتي تُعدّ بالمقارنة مع غيره من الأنواع قليلة نسبيًّا، فهو من أنواع تقويم الأسنان العالية الكلفة، ويعدّ الأعلى ثمنًا بين الأنواع جميعًا وذلك يرجع للتّقنيات الحديثة التي تستخدم معه، ومن ميّزاته السّلبية أنّه لا بدّ على المريض الالتزام بتعليمات صارمة يمليها عليه الطبيب، وإلا يكون العلاج ليس فعالًا كما يجب أن يكون، من أبرز النقاط السلبية أن هذا النوع بالتّحديد لا يصلح لكلّ الحالات المرضيّة.
سعر تقويم الأسنان الشفاف
من أغلى أنواع التقويم وأكثرها كلفةً هو تقويم الأسنان الشفاف، لذلك يبدأ سعر التقويم الشفاف في جدّة في المملكة العربية السعودية من 10000 آلاف ريال سعودي، وقد يصل حتّى 25000 خمسة وعشرين ألف ريال سعودي.
صور تقويم الأسنان الشفاف
بعرض انواع تقويم الاسنان بالصور فيما يأتي تقويم الأسنان الشفاف بالصور:



ما أفضل أنواع تقويم الأسنان
لا يمكن بالضبط تحديد أفضل تقويم أسنان، فكل جهاز تقويم له ميّزاته وله عيوبه، وتفضيله يعتمد على عدّة عوامل منها ما يتعلّق بالمريض نفسه ومنها ما يتعلّق بالطّبيب، فالمريض قد يشعر بالإحراج لوضع تقويم الأسنان لذلك يرغب بالتقويمات المخفيّة، فهي أقلّ إحراجًا، وقد يرغب المريض بالحصول على النتائج بسرعة ولا يهمّه إخفاء التقويم أو إظهاره فيتّجه لأنواع التقويم السريعة المفعول والقوية الأداء، وقد يحدد المريض ميزانية ضعيفة أو قوية للتقويم، وهذا يجعله محدًّا لخياراته، أما العوامل التي ترتبط بالطبيب، فالطبيب هو الشخص الذي يعالج ويفحص الأسنان، وهو بنظرته وخبرته سيعرف ما نوع التّقويم الأفضل بالنّسبة لحالة المريض، فعملية تقويم الأسنان تتم بجهز مصمم للتحكم في وضعية العظام والأسنان وتصحيح عملية الإطباق للفكين، والطبيب هو صاحب القرار الذي يحدد نوعه بحسب الحالة.
شاهد أيضًا: موضوع تعبير عن ألم الأسنان الصف الرابع قصير
أرخص سعر تقويم الأسنان 2025
إنّ تحديد أرخص سعر تقويم الأسنان 2025 يعتمد على الكثير من الأمور والعوامل التي تلعب دورًا في تحديد التكلفة، حيث يعتمد سعر تقويم الأسنان على نوعيّة التّقويم إن كان معدنيًّا تقليديًا أو شفافًا أو داخليًّا أو خزفيا أو غيره، فكلّ نوعٍ من الأنواع يملك سعرًا محدّدًا، كذلك مهارة الطّبيب والأخصائي الذي يقوم بالعلاج، والتّقنيّات المستخدمة في العلاج، والمواد التي تمّ تصنيع تقويم الأسنان منها كلّ ذلك يؤثر في سعر تقويم الأسنان، ويعدّ تقويم الأسنان المعدني التقليدي الأرخص من حيث السعر من بين جميع الأنواع، وفيما يأتي سيتمّ عرض أرخص تقويم أسنان في السعودية وفي الدول الأخرى:
أرخص سعر تقويم الأسنان في السعودية
تُعدّ المملكة العربية السعودية من أفضل الدّول التي تقدّم الرعاية الصّحية والعلاجية في مجال تقويم الأسنان وهي تمتاز بوجود أرخص الأسعار فيها، حيث تتراوح أسعار تقويم الأسنان في السعودية ما بين 3000 ريال سعودي و15 ألف ريال سعودي، وفيما يأتي أسعار تقويم الأسنان في بعض المدن السعودية الكبرى:
- سعر تقويم الأسنان في الرياض: يتراوح سعر تقويم الأسنان العادي الأرخص في الرياض بين 2500 ريال سعودي و4000 ريال سعودي.
- سعر تقويم الأسنان في جدة: في جدّة تتراوح أسعار أرخص أنواع تقويم الأسنان بين 4000 و 5000 آلاف ريال سعودي.
- سعر تقويم الأسنان في المدينة المنورة: ترتفع أسعار تقويم الأسنان في المدينة المنورة حيث يبلغ متوسّط سعر أرخص تقويم أسنان 5000 ريال سعودي.
سعر تقويم الأسنان في الدول العربية
إنّ من المفاجئ أن يكون الفارق بين الدول العربية في سعر تقويم الأسنان كبير جدًّا، وذلك يرجع للحسومات وفروق العملات، وجهات الاستيراد للمواد الأولية، وطرق التصنيع وكفاءة الأطباء وغير ذلك من الأمور المؤثرة، وفيما يأتي أسعار تقريبية لتقويم الأسنان في بعض الدول العربية:
- الإمارات العربية المتحدة: تتراوح أسعار تقويم الأسنان في الإمارات العربية ما بين 60 آلاف إلى 15 ألف درهم إماراتي، ولا تعدّ الخيار الأمثل بالنّسبة للأسعار الباهظة.
- قطر: تتراوح أسعار تقويم الأسنان في دولة قطر ما بين 6 آلاف و20 ألف ريال قطري.
- الكويت: في الكويت تتراوح أسعار تقويم الأسنان ما بين 500 و 2000 دينار كويتي.
- مصر: تتنوّع الأسعار في مصر كثيرًا، حيث تتراوح أسعار التقويم المعدني التقليدي ما بين 6 آلاف و20 ألف جنيه مصري.
- الأردن: متوسّط الأسعار في الأردن يترواح بين 500 إلى 3000 دينار أردني.
أهمية وفوائد تقويم الأسنان
بعد تقديم انواع تقويم الاسنان بالصور سيتم بيان أهمية وفوائد تقويم الأسنان، حيث يساعد على تحسين العملية الوظيفية لعمل الأسنان وترتيب الفم وإعطاء مظهر جميل، ومن فوائده ما يأتي:
- تحسين المظهر العام: حيث يعدّ الهدف الأول لتقويم الأسنان إعطاء الأسنان شكلًا مرتبًا وجميلًا، وتعطي الشخص مظهرًا احترافيًّا في حياته، فيساعد التقويم على تقريب الأسنان المتباعدة واصطفاف المعوجّة وإبعاد الأسنان المتزاحمة.
- منح الفم مظهرًا صحّيًا: فعملية ترتيب الأسنان وتنظيمها يجعلها سهلة التنظيف والرّعاية الصحية، فبالتالي يحصل الإنسان على لثة وأسنان صحية بعيدة عن أمراض الفم والأسنان.
- تحسين القدرة العامة على المضغ والكلام: فعدم القدرة على الإطباق يسبب سوء في هضم الطعام ومضغه، وباصطفاف الأسنان يصبح المضغ أفضل والهضم يتحسن، وكذلك عدم إطباق الفم قد يسبب تشوّهًا في نطق الحروف، وعدم التحرك الصّحيح والسليم للسان أثناء الكلام، وبتقويم الأسنان يتعدّل النّطق وتُضبط مخارج الحروف.
- يمنح زيادة في الثقة في النفس: فبحصول الإنسان على ابتسامة جميلة وجذّابة يمنحه ثقةً في نفسه، ودافعًا لإطلاق ابتسامته للجميع.
- فوائد أخرى للتقويم: يساعد التقويم بإرجاع الأسنان لموقعها الطبيعي، ويساعد في علاج حالات من انقطاع النفس النومي، ويمنع ضعف الفك وألم العضلات الفكّية، ويساهم في علاج الشفة الأرنبية.
أضرار تقويم الأسنان
إنّ تقويم الأسنان آمنٌ لا أضرار قويّة أو مؤذية فيه، إلا أنّ بعض الأضرار البسيطة والمخاطر قد تصاحبه في بعض الحالات، وهي ناجمةٌ إما عن ضعف مهارة الطبيب، أو سوء الاهتمام من المريض وضعف تنظيف التقويم، ومن أضرار تقويم الأسنان:[1]
- تسوس الأسنان وأمراض اللثة: حيث أنّ سبب هذا الضرر هو إهمال النظافة الدائمة للتقويم وللأسنان، فتقويم الأسنان يزيد من احتمال التسوس إذا أهمل المريض تنظيفه.
- وجود بقع صفراء دائمة: وهي ما يُعرف بزوال كلس الأسنان، وهي من أكثر الأضرار شيوعًا.
- وجود آلام سنّية وانزعاجات: وهي تكون قوية في بداية وضع التقويم وتخفّ مع الزّمن، وهو ناتجٌ عن الضّغط الذي يمارسه التقويم على الأسنان.
- إصابات خارجية مترافقة للأنشطة: حيث إنّ أيّة ضربة خارجية يتلقاها المريض بوجود التقويم قد تسبب له إصابات وجروح في الفم والوجه.
- ردّات فعل تحسسية: وهي تنتج عن ردّ فعل اللثة تجاه مواد التقويم ذاتها.
- ضعف جذور السن: وذلك بسبب تحرّك الأسنان من مكانها وتغييره، وهي أعراض تؤثر على المدى البعيد.
مكونات تقويم الأسنان
بالمرور على انواع تقويم الاسنان بالصور، وبيان الكثير من المعلومات الهامة حول تقويم الأسنان، فإنّه سيتمّ بيان مكونات تقويم الأسنان الرئيسة المستخدمة في أجهزة التقويم:
- تكون أجهزة تقويم الأسنان مكوّنة من قطع معدنية صغيرة، تسمّى الحمالات، وهي تلك القطع التي يتمّ إلصاقها بالأسنان مباشرةً ووظيفتها حمل الأسلاك ونقل أثرها للأسنان.
- الأسلاك المعدنية التي يتمّ إدخالها في القطع المعدنية الملتصقة بالسّن، ووظيفته ربط كلّ تلك القطع والأسنان التي تلتصق بها مع بعضها البعض، وهذان المكوّنان يكونان متواجدان في التقويم المعدني والخزفي الخارجي والداخلي.
- بعض أنواع التقويم تكون بلاستيكية بالكامل أو من مواد سيليكونية، كالتقويم الشفاف.
- أنواع من التقويم يدخل في تركيبها الخزف وأمور أخرى تعود لطبيعتها واختلاف نوعها.
- في بعض الحالات يتمّ استخدام موسّع الفك مع تقويم الأسنان.
ما المدة التي يستغرقها تقويم الأسنان
إنّ تحديد المدة التي يحتاجها ويتغرقها تقويم الأسنان تختلف من حالةٍ لحالة، وهي تعتمد على العديد من العوامل، والمقرّر الأول في هذا الأمر هو الطّبيب المعالج، وإنّ العوامل المؤثرة بالفترة الزمنية هي:
- عمر المريض فكلّما زاد العمر زادت المدّة اللازمة والتي يستغرقها تقويم الأسنان.
- شدّة الحالة المرضية وطبيعة المشكلة التي تتمّ معالجتها.
- تقنيّات العلاج المستخدمة ونوع التقويم الذي يتمّ استخدامه في العلاج.
- الحالة الصحية العامة للفم والفك والأسنان.
- التزام المريض بتعليمات الطّبيب ودقّة تنفيذه لها.
فمدة العلاج تتضمن زيارات دورية لطبيب الأسنان تمتد من بين عدة أشهر إلى عدّة سنوات، لكنّ الغالب يكون ما بين فترة سنة إلى ثلاث سنوات، وسنتين في المتوسّط، يتمّ فيها انتهاء فترة تقويم الأسنان ويدخل في فترة المثبّت للحفاظ على الأسنان والنتيجة التي تمّ الوصول إليها.
ماذا نفعل بعد التقويم
قبل اختتام مقال انواع تقويم الاسنان بالصور، فإنّه سيتمّ إسداء بعض النصائح حول ماذا نفعل بعد التقويم، فمن الجدير بالذّكر أنّ نجاح تقويم الأسنان يعتمد على مهارة الطبيب وصبر والتزام المريض واتّباع التعليمات والتوصيات، وعند الوصول للنتيجة المرجوّة والمُراد الوصول إليها، يتمّ التّخلص من جهاز التّقويم وإزالته من الفم، لكن يتمّ الدخول في مرحلة ختامية هامّة، وهي مرحلة التّثبيت، وفيه يصمم الطبيب أداة خاصّة يرتديها المريض بعد الانتهاء من التقويم لفترة زمنية معينة، ويكون المثبت إما ثابتًا أو متحرّكًا، ويوصي الطبيب على المحافظة على صحّة الأسنان ونظافتها، ويوصي بالزّيارة الدورية لطبيب الأسنان والمراجعة الدائمة لمراقبة حالة الأسنان ووضعها.
بهذا نختتم مقال انواع تقويم الاسنان بالصور، والذي قدّم لنا تعريفًا بتقويم الأسنان، وبيّن أفضل تقويم أسنان يمكن تركيبه، ووضّح أهميّة تقويم الأسنان وفوائده، وذكر أضراره البسيطة وأعراضه الجانبية، وعرّف بمكونات التقويم والمدة الزمنية التي يستغرقها تقويم الأسنان، وماذا بعد التقويم.
المراجع
- dentalhealth.org , Types of orthodontics , 09/05/2024
- news-medical.net , Types of Dental Braces , 09/05/2024
- nhsinform.scot , orthodontics , 09/05/2024







































