كيف افقع خراج الاسنان ؟ واهم النصائح لتخفيف الم الخراج
جدول المحتويات
كيف افقع خراج الاسنان؟ غالباً ما يعاني الكثير من الناس من آلام شديدة في لثة الأسنان نتيجة وجود خراج ما فيها أو أي التهابات أخرى، ومن خلال موقع المرجع سيتم الحديث في هذا المقال عن خراج الأسنان، وأسباب حدوثه، وكيفية التخلص منه، بالإضافة إلى بعض النصائح عن كيفية الوقاية من هذا الخراج.
ما هو خراج الأسنان
يُقصد خراج الأسنان بأنه عبارة عن عدوى بكتيرية تُسبّب قيح، ويحدث خراج الأسنان في أي مكان من الأسنان، ولعدة أسباب ويختلف ألمه من متوسط إلى حاد، وهناك أنواع من الخراج فمثلاً الخراج القمي يحدث في أطراف الجذور، أمّا خراج دواعم السن فيحدث في اللثة بجانب جذر السن، وهناك عدة أنواع من خراج الأسنان، وهي:
- الخراج القمي: حيث في هذا النوع تنتشر البكتيريا في اللب أي بداخل جذر السن.
- خراج دواعم السن: وينتشر على اللثة أو بجانب جذر السن وأحياناً قد ينتشر إلى الأنسجة المحيطة والعظام حوله.
- الخراج اللثوي: وهذا النوع ينتشر في نسيج اللثة دون أي تأثير على الأسنان.
شاهد أيضًا: تجربتي مع إزالة جير الأسنان وأسباب تكونه وأضراره على الأسنان
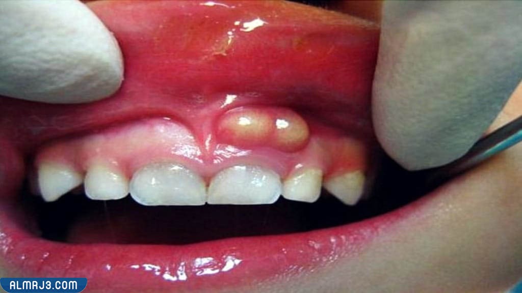
كيف افقع خراج الاسنان
هناك عدّة طرق آمنة لفقع والتخلص من الخراج في المنزل، وذلك في حالة واحدة وهي كون هذا الخراج ظاهراً، وفيما يلي نورد بعض الطرق الآمنة للتخلص من هذا الخراج:[1]
- الطريقة الأولى: وتكون هذه الطريقة بالضغط على الخراج بأصابع اليد وبقوة، وبهذا الفعل سيخرج الصديد، إلا أن لهذه الطريقة بعض الأضرار، كاحتمال دخول الصديد إلى الداخل بدلا من الخروج، وبالتالي يتسبب في انتشاره في أنسجة اللثة.
- الطريقة الثانية: وتكون بواسطة استخدام مشرط أو إبرة صغيرة في الحجم، والحرص على أن يكونوا معقمين، وفي هذه الطريقة يجب أخذ الحذر حتى لا نسبب أي أضرار ومضاعفات أخرى، ولكن لهذه الطريقة بعض الأضرار، إذ يمكن حدوث قطع في الأوعية الدموية، لذا علينا أخذ الحذر جيداً عند فقع الخراج في المنزل، وبعد فقع الخراج علينا تعقيم المكان بواسطة عملية المضمضة ونتجنب ابتلاعه، لكي لا نتسبب بانتقال العدوى والبكتيريا إلى مكان آخر في الفم.
شاهد أيضًا: أفضل أنواع فرش الأسنان الكهربائية بالترتيب
أعراض خراج الأسنان
عادةً ما يصاحب خراج الأسنان بعض الأعراض، ومن هذه الأعراض ما يلي:
- ألم أسنان مستمر قد يكون حاد أو متوسط.
- حساسية شديدة لمختلف درجات الحرارة سواء باردة أو ساخنة.
- يصاحب عملية المضغ أو العض الشعور بالألم.
- ارتفاع حرارة الجسم “الحمى”.
- انتفاخ وتورّم الوجه والخذين.
- شعور الشخص بالألم في العقد الليمفاوية التي توجد أسفل الفك والرقبة وأحياناً يؤدي إلى تورمها.
- رائحة الفم تكون كريهة، وذلك بس إفراز سائل رائحته كريهة في الفم نتيجة لانفجار الخراج.
- مواجهة صعوبة خلال عملية التنفس وعملية البلع.
شاهد أيضًا: موضوع تعبير عن ألم الأسنان الصف الرابع قصير
أسباب خراج الأسنان
تتعدد أسباب تكوّن خراج الأسنان، ومن أهم هذه الأسباب ما يلي:
- هجوم بكتيريا لمنطقة اللب في الأسنان، ويُعرف لب الأسنان بأنه عبارة عن جزء عميق من السن يحتوي على أوعية دموية وأنسجة ضامة وأعصاب فتنتشر حينها العدوى.
- حدوث كسر في السن أو نخر في السن فتنتج العدوى.
- تسوس الأسنان والتهابات اللثة التي تسبب الخراج القمي.
- بقايا الأطعمة الصلبة الصغيرة قد تسبب خراج اللثة.
- استخدام فرشاة أسنان خشنة على اللثة تسبب خراج اللثة.
شاهد أيضًا: كم عدد الأسنان اللبنية عند الأطفال
عوامل الإصابة بخراج الأسنان
هناك عدة عوامل تزيد من احتمالية الإصابة بخراج الأسنان، ومن هذه العوامل ما يلي:
- قلة الاهتمام والعناية بالأسنان واللثة وعدم الحفاظ على نظافتها.
- استخدام فرشاة ملوثة وغير نظيفة.
- الإكثار من تناول السكريات والحلويات.
- الإكثار من شرب المشروبات الغازية.
- كثرة شرب الأدوية أو تقدم السن، مما يؤدي إلى جفاف الفم، والذي يزيد من تسوس الأسنان.
شاهد أيضًا: طريقة تبييض الأسنان في يوم واحد
كيفية الوقاية من خراج الأسنان
للوقاية من خراج الأسنان علينا اتباع النصائح التالية:
- اجتناب تسوس الأسنان، وذلك من خلال:
- عدم الإكثار من تناول السكريات.
- والاعتناء بنظافة الأسنان.
- شُرب مياه معالجة بالفلور.
- الحرص على نظافة الأسنان، وذلك من خلال تنظيفهم في الصباح وقبل النوم باستخدام معجون الأسنان الذي يحتوي على الفلورايد.
- اتباع نظام صحي للأكل، لأن الأطعمة الغير صحية تضّر بالأسنان.
- استخدام السواك لتنظيف الأسنان، حيث أن الرسول -صلى الله عليه وسلم- حث على ذلك، لقوله -صلى الله عليه وسلم- “السواك مطهرة للفم مرضاة للرب”، وإضافةً إلى ذلك يمكن استخدام الخيط والفرشاة لتنظيف الأسنان.
- الحرص على استبدال فرشاة الأسنان باستمرار خلال عدة شهور.
- عدم استخدام فرشاة الآخرين، لأنه قد يسبب انتقال العدوى والأمراض.
- غسل الفم باستخدام مطهر خاص يحتوي على الفلوريد، لأنه يكون طبقة عازلة تحمي الأسنان من تسوس الأسنان.
- زيارة الطبيب بشكل دوري، للتأكد من سلامة الأسنان والعمل على تنظيفهم.
شاهد أيضًا: أفضل مضاد حيوي لالتهاب عصب الأسنان
وصفات طبيعية لتخفيف آلام الخراج
هناك بعض الطرق والوصفات الطبيعية التي تساعد على التخفيف من ألم الخراج والتخلص من الالتهابات، وفيما يلي نُورد أهمها:
- تناول أقراص الباراسيتامول والإيبوبروفين: فهذه الأقراص
تخفف من ألم خراج الأسنان. - غسل الفم أو المضمضة بالماء والملح: لأن الملح يساعد على التعقيم من خلال إزالة البكتيريا وتقليل الالتهاب، كما يساعد في التخفيف من الألم.
- زيت القرنفل: يمكن استخدام زيت القرنفل، فهو يعمل كمخدر للمنطقة، ويساعد في التخفيف من الألم، ولكن يجب أخذ الحذر عند استعماله، لأن له تأثيرات ضارة، مثل: حرقة في الحلق والشعور في الدوار وسرعة ضربات القلب.
- كمادات الماء الباردة: للتخفيف من ورم الخدين الناتج عن خراج الأسنان نضع كمادات الماء البارد على الخد.
- كمادات الماء الدافئة: في حال كنا نريد انفجار الخراج، ولكن بشكل تلقائي علينا وضع كمات الماء الدافئ، فانفجاره حينها يُساعد على تخفيف الألم، ولكن علينا الحذر من ابتلاعه لكي نتجنب الإصابة بالعدوى.
- وصفة النعناع: وتتم هذه الوصفة باستخدام عدة قطرات من زيت النعناع أو بعصر النعناع ووضعه على مكان خراج الأسنان، ثم القيام بعملية المضمضمة، فهذا يساعد على تخفيف الألم ومنع انتقال وانتشار البكتيريا والعدوى إلى مكان آخر في الفم، لأن النعناع يعدّ مضاد قوي للجراثيم.
- وصفة الثوم: حيث يعمل الثوم كمضاد حيوي، وذلك لاحتوائه على مضادات للأكسدة إضافة إلى تخفيفه من الألم، وهناك وصفتين منها:
- مضغ فصان من الثوم بالقرب من مكان الخراج أو مكان الألم، ثم نقوم ببصقه والقيام بمضمضة الفم بواسطة ماء دافئ بعد إضافة بضع من قطرات زيت القرنفل إليه حتى نتخلص من رائحة الثوم الكريهة.
- خلط نصف ملعقة صغيرة الحجم من الثوم المطحون مع رشة من الملح الخشن، ثم نقوم بوضع الخليط على مكان الخراج لمدة عشرة دقائق، وبعدها نقوم بالمضمضة عدة مرات.
شاهد أيضًا: افضل مسكن ألم عصب الأسنان من الصيدلية
وإلى هنا نكون قد وصلنا إلى نهاية مقالنا الذي حمل عنوان، كيف افقع خراج الاسنان؟ حيث تعرفنا على خراج الأسنان وكيفية التخلص، كذلك تعرفنا على أسباب الإصابة بخراج اللثة والأسنان، وأعراضه.
المراجع
- mayoclinic.org , Tooth abscess , 04/02/2022









